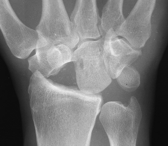
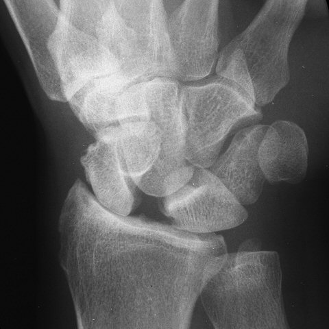
Proximal Row Carpectomy

Proximal row carpectomy for painful scapholunate dissociation with radioscaphoid arthritis. These are steps taken from the video at the bottom of this page.


Dorsal incision.


Extensor retinaculum access through third compartment, leaving radial leaf attached to bone.


Ulnar retinacular flap reflected ulnarly into the fifth compartment.


Optional posterior interosseous neurectomy.


Inverted "T" dorsal capsular flaps.


Triquetrum excision.


Lunate excision.


Scaphoid exposure.


Piecemeal excision of distal scaphoid.


Trapezium-trapezoid joint visible after scaphoid excision.


Capsular repair.


Retinaculum anchored back to dorsal radial tubercle attachment to reconstitute extensor pollicis longus pulley.


Retinacular closure.


Skin closure.


 



More videos
e-Hand