Clinical Example: Gamekeeper's thumb variations

There are a variety of techniques to repair traumatic instability of the ulnar collateral ligament of the thumb, commonly called gamekeeper's thumb or skier's thumb.

 
Click on each image for a larger picture

 
The typical posture is ulnar deviation of the thumb at the metacarpophalangeal joint:
Click for larger image
and another patient..
Click for larger image
Questionable cases can be evaluated with stress Xrays to determine just how far off track the joint deviates:
Click for larger image
Films are compared with and without stress. This thumb not only translates radially, but "opens up", indicating a complete ligament tear.
Click for larger image
This thumb translates about 40% to the side, but does not open up: still a complete disruption.
Click for larger image
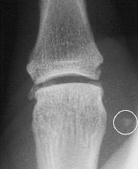
A film taken before surgery on a different patient shows the end of the ligament, marked by a small avulsion fragment (in the circle).
Click for larger image
Surgery confirms the problem: the ulnar collateral ligament has extruded through a tear in the extensor tendon hood, and faces left, away from the joint.
Click for larger image
The above picture has been colored to show the ligament (yellow), the hood (blue), and the two points which need to be connected back together (the "X"s). Without surgery, the tendon forms a layer which prevents the ligament from returning to its original position.
Click for larger image
The end of the ligament is secured with two sutures to a Mitek bone anchor in the base of the proximal phalanx:
Click for larger image
The completed repair:
Click for larger image
and a film showing the bone anchor and a temporary transarticular pin.
Click for larger image
In this case, an open repair was performed with the SmartTack absorbable bone anchor. The injury here was about a month old. The free end of the torn ligament points down and to the right. 
Click for larger image
Joint fixation and the path of the bone anchor:
Click for larger image
The anchor through the ligament:
Click for larger image
and secured into the bone.
Click for larger image
Injuries associated with a large avulsion fracture can be repaired with one or two micro screws, as was done here:
Click for larger image
Click for larger image
Click for larger image
Not all need repair. This patient had an injury associated with rotation of the avulsion fracture. This often indicates a combination of fracture and ligament tear. However, the joint was stable, and had a good result from splinting alone. The bottom film shows the expected asymptomatic fibrous nonunion.
Click for larger image
Search for...
Gamekeeper's thumb
bone anchor thumb
Case Examples Index Page e-Hand home