Clinical Example: Scaphoid fixation with more than one Herbert screw

A few years ago, I started putting in two Herbert screws for scaphoid fractures, with the thought that it would provide more rigid fixation. I think that it is helpful in some, but not all cases. Here are some of my results with a few variations...

 
Click on each image for a larger picture

 
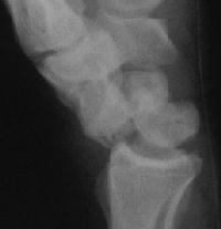
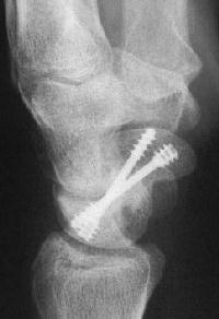
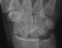
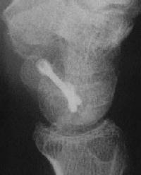
1. Nondisplaced fracture in a surgeon who declined continuous immobilization. 
Click for larger image
One week after screw stabilization using a limited dorsal approach, he was back operating, but splinted when not scrubbed. These films are one month post op: no visible fracture.
Click for larger image
Click for larger image
Case 2. Nonunion with a large fracture cyst. After debridement, the defect, the graft, and yes, that is the capitate peeking through the defect.
Click for larger image
Click for larger image
Click for larger image
The graft, and inadequate seating of the more ulnar screw.
Click for larger image
Consolidation..
Click for larger image
Click for larger image
The poorly placed screw remained a source of pain, and the hardware was removed along with a styloidectomy.
Click for larger image
Case 3. Another postop, better screw positioning.
Click for larger image
Case 4. Nonunion with a graft and screws placed in both directions from a single palmar approach, hyperextending the wrist for the proximal entry...
Click for larger image
and with the graft: 
Click for larger image
and with consolidation, 
Click for larger image
Click for larger image
Case 5. Another,same bidirectional technique. Here, I ran the second screw too close to the first, and may have flattened the leading threads - not
ideal. The preop status:
Click for larger image
With intercalated iliac bone graft...
Click for larger image
and healing.
Click for larger image
Click for larger image
Case 6. A dorsal approach for this proximal pole fracture would have been a better choice. 
Click for larger image
Click for larger image
Click for larger image
Click for larger image
Case 7. This nonunion patient's scaphoid and iliac crest were unusually soft bone.
Click for larger image
After two screws, the fixation was clearly inadequate, so I put a third screw through the graft into the proximal pole. I wasn't sure whether to buy
stock in Herbert screws or Zantac. The fracture healed despite AWOL and no immobilization.
Click for larger image
Click for larger image
Case 8. Transscaphoid perilunate fracture dislocation...
Click for larger image
Click for larger image
Two screws put in dorsally, LT ligament reinforced with a strip of extensor retinaculum left attached to the triquetrium and anchored into the lunate; temporary capitolunate pin.
Click for larger image
Click for larger image
Late, with asymptomatic partial union or nonunion, but no haloing.
Click for larger image
Search for...
Herbert screw scaphoid
Case Examples Index Page e-Hand Home