Clinical Example: Unicondylar proximal phalanx head fracture with micro screws

Unicondylar fractures of the phalangeal head are common, frequently unstable and unacceptably displaced. Although some may be treated successfully with percutaneous reduction and fixation, many require open reduction. In these cases, the screws were put right through the collateral ligament and sunk into the cortex. I think the simplest way to do this is to reduce and stabilize with two K wires, then remove the wires and replace with screws, one at a time, so reduction is maintained throughout. 1mm=39/1000" Kwire, so doing the math, here is how you choose the right sized Kwire to use as both drill and provisional fixation:
Screw (mm) Drill (mm) Kwire (mm) = Kwire (.001”)
1.0 .76 .71 28
1.3 1.0 .89 35
1.5 1.1 1.1 45
2.0 1.5 1.4 54
2.4 1.8 1.6 62
 
With two screws, bicortical fixation is not needed. The video below illustrates the steps involved, which are the same with either open or percutaneous fixation.




Click on each image for a larger picture

 
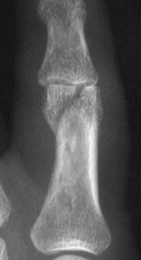
Case 1. A typical emergency splint...
Click for larger image

Click for larger image

Click for larger image

Click for larger image

Click for larger image
Case 2.
Click for larger image

Click for larger image
And another patient. 
Click for larger image
Search for...
unicondylar phalanx fracture
phalanx microscrews
Case Examples Index Page e-Hand home