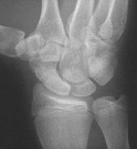
Clinical Example: Scaphoid fracture with total avascular necrosis similar to Preiser's disease

One of the problems with scaphoid fractures is ischemia of the proximal fracture fragment resulting in delayed union, nonunion or irretrievable avascular necrosis. In this case, ischemic changes involving the entire scaphoid are documented following a scaphoid fracture due to minimal trauma. This progressed with cystic changes and AVN on MRI. The patient had persistent pronounced wrist stiffness and pain. As pointed out to me by Dr. Lawrence Schneider (thanks!), this is technically not true Preiser's, for the fracture preceded the AVN. 

 
Click on each image for a larger picture

 
Click for larger image
Click for larger image
Click for larger image
Click for larger image
Click for larger image
Click for larger image
Search for...
scaphoid avascular necrosis
scaphoid fracture
Preiser's disease
Case Examples Index Page e-Hand home