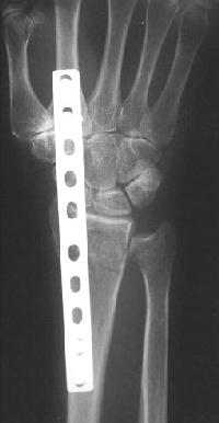
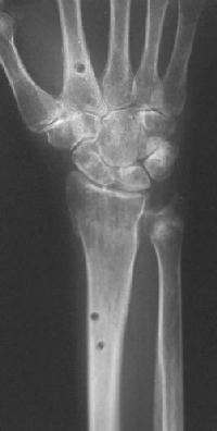
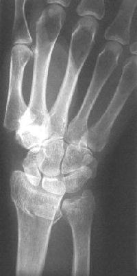
Clinical Example: Distraction plate fixation distal radius fracture


 
Click on each image for a larger picture

 
Click for larger image
Click for larger image
Click for larger image
Click for larger image
Click for larger image
Click for larger image
Search for...
distal radius fracture
Case Examples Index Page e-Hand home