Clinical Example: Hamate Hemiarticular Replacement Arthroplasty for Distal Interphalangeal Joint Dorsal Fracture Dislocation

This case demonstrates the use of the gull-wing shaped hamate articular graft for replacement of loss of the palmar half of the distal phalanx articular surface from a DIP dorsal fracture-dislocation. This is analogous to the HHRA reconstruction described for PIP fracture dislocation ( Case 1, Case 2, Case 3, Article ) , but because of differences in anatomy, has been performed through a bayonette exposure rather than the traditional PIP shotgun exposure. One goal of this exposure is to allow immediate postoperative motion by avoiding the need to perform a tenotomy to expose the joint.

 
Click on each image for a larger picture

   
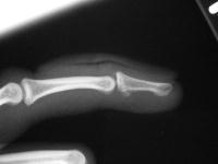
The injury:dorsal DIP fracture dislocation of the ring finger of a 16 year old male sports hopeful.
Click for larger image
 
Unstable even in a well molded splint.
Click for larger image
 
Custom articular osteotome designed to create an intraarticular osteotomy through the distal hamate surface, a bit easier to control than a Freer elevator.
Click for larger image
 
Intraoperative fluoros: The injury, reconstruction through a bayonette exposure, stable reduction.
Click for larger image
 
Click for larger image
 
Click for larger image
 
Procedure Summary in 90 seconds

Skin Incision
Collateral ligaments take down
Dorsal dislocation "Bayonette" exposure
Fracture debridement
Measure defect
Graft harvest from ring-small juncture of hamate
Provisional fixation with Kwires through extensor tendon
Replace Kwires with screws
Closure


Technical note regarding closure: the eponychial wound has two skin layers: superficial and deep. If they are not closed separately, the closure will heal with prolonged inflammation. This  can usually be prevented with a layered closure using a deep pullout suture, as shown here:
Click for larger image
 
Three months postop, following a program of immediate protected motion supervised in therapy. No pain, full flexion, 20 degree extensor lag, ready for sports.
Click for larger image
 
Click for larger image
 
Click for larger image
 
Click for larger image
 
Click for larger image
 
Click for larger image

Search for...
interphalangeal fracture dislocation
hhra

Case Examples Index Page e-Hand home