Clinical Example: CREST syndrome with scleroderma, telangiectasias and subcutaneous calcification

Scleroderma is a systemic disease, but commonly affects the hands in several ways. Finger stiffness is typical. Scleroderma may be associated with other syndromes, and a common combination is Calcinosis, Raynaud's, Esophageal motility disorders, Scleroderma and Telangiectasias - CREST syndrome. In this syndrome, the hands are affected by calcinosis, Raynaud's and scleroderma. Skin ulcerations may arise from Raynaud's related peripheral vascular insufficiency (fingertips), from scleroderma related skin tightness (extensor surfaces of the proximal interphalangeal or metacarpophalangeal joints), or from extrusion of subcutaneous calcium formations (any location). 

 
Click on each image for a larger picture

 
Tightness of skin is apparent over the dorsal fingers, with loss of extensor skin creases.
Click for larger image
The right index and middle fingertips are large, hard and tender.
Click for larger image
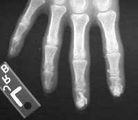
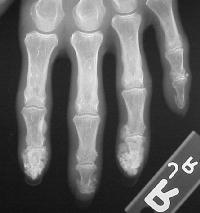
Xrays show extensive soft tissue calcifications of the distal pulp of these fingers.
Click for larger image
Soft tissue calcifications are typically diffuse, and can not be simply "shelled out". Thorough excision may lead to extensive skin loss, and partial removal (limited incision and drainage) may be a reasonable compromise approach in selected cases.
Click for larger image
Healing ulcerations on the left index and middle fingertips, where calcium deposits have spontaneously drained in the past.
Click for larger image
Click for larger image
Click for larger image
Subcutaneous calcification of the extensor surface of the elbow is common, and a common site for spontaneous drainage and infection. 
Click for larger image
Click for larger image
Isolated involvement around the flexor carpi ulnaris at the level of the wrist.
Click for larger image
Search for...
scleroderma hand surgery
finger subcutaneous calcification
crest hand surgery
Case Examples Index Page e-Hand Home