Clinical Example: Hamate osteochondral graft for PIP fracture dislocation

Dorsal fracture dislocations of the proximal interphalangeal joint are a common and difficult injury. The seriousness of the problem is often underestimated by the patient, leading to delay in treatment. Even when treated early, these fractures are difficult because the joint surface is crushed into small pieces. Many treatment options exist, none perfect. A new approach for these fractures involves replacing the destroyed section of the joint with an osteochondral graft taken from the dorsal hamate, where the shape of the joint surface matches that of the base of the middle phalanx. This is an example of this technique. 

 
Click on each image for a larger picture

 
This gentleman injured his ring finger almost two weeks ago playing football, and has continued playing with the finger buddy taped. The distal interphalangeal joint has not bent for years following a different prior injury.
Click for larger image
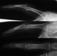
Xrays show a comminuted dorsal fracture dislocation of the proximal interphalangeal joint with dorsal subluxation.
Click for larger image
The joint moves, but through an unnatural hinging on the edge of the fracture.
Click for larger image
In the operating room, the crushed bone is removed and provisional fixation of the volar graft is obtained with Kirschner wires.
Click for larger image
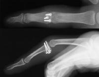
These wires are then replace, one at a time with micro screws.
Click for larger image
Click for larger image
Click for larger image
The joint is approached through a volar "shotgun" hyperextension approach, as for a volar plate arthroplasty. In this case, the end of the profundus tendon is on the right, evidence of an old profundus avulsion injury.
Click for larger image
Here, the graft is in place and the joint has been reduced. The proximal two screws were then backed out slightly, and the volar plate was secured with sutures looped around the proximal two screws, which were then tightened back (not shown). 
Click for larger image
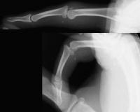
Final reconstruction.
Click for larger image
Similar cases are posted
here
and here
Search for...
proximal interphalangeal joint fracture dislocation
interphalangeal osteochondral graft
Case Examples Index Page e-Hand Home