Clinical Example: Coronoid Nonunion following elbow fracture dislocation with radial head fracture excision

The coronoid is the anterior lip of the trough which cradles the distal humerus. Elbow fracture dislocations often disrupt both the coronoid and the radial head, leading to instability and recurrent subluxation, particularly if over half of the height of the coronoid is lost. Radial head implants may help inthis situation, but this is controversial.

 
Click on each image for a larger picture

 
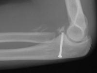
Initial fixation: radial head excision and coronoid screw fixation. In this case, a lag screw was used, but threads bridged the fracture line, preventing compression.
Click for larger image
Two years later, asymptomatic nonunion. This is not optimal, but no intervention is indicated.
Click for larger image
Search for...
coronoid fracture
elbow fracture dislocation
Case Examples Index Page e-Hand Home