
Figure Legend:
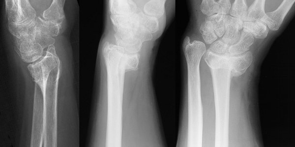
Distal radius malunions are common after closed reduction of an
unstable fracture pattern, resulting in dorsal (left) or volar (center)
angulation, shortening and loss of radial inclination (left).
Functional outcome correlates poorly with radiographic changes.
| e-Hand | Go Back | Search | Textbook |