
Figure Legend:
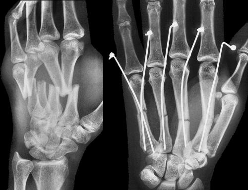
Crush injuries are prone to delayed wound healing and stiffness with
standard open reduction and internal fixation techniques. Percutaneous
fracture pinning allows fracture stabilization without the addition of
additional trauma from fracture site exposure.
| e-Hand | Go Back | Search | Textbook |