
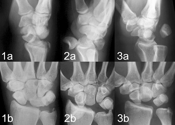
Figure Legend: Lunate dislocations may
be missed in the emergency room through failure to recognize the typical
states are"spilled teacup" sign on the lateral wrist x-ray (1a), hand and
abnormalities which are not dramatic on the PA film (1b). It is unusual
for the lunate to be displaced enough to be obvious to the untrained eye
and in these examples of complete volar (2) and dorsal (3) lunate dislocations.
| e-Hand | Go Back | Search | Textbook |