
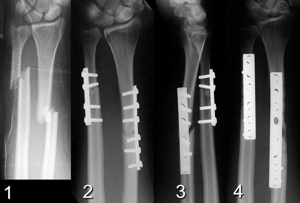
Figure Legend: Example of inadequate fixation.
This patient underwent open reduction and internal fixation of a displaced
both bone forearm fracture (1). Technical errors by the first surgeon include
use of semitubular plates, which have inadequate rigidity for this type
of fracture, and failure to achieve purchase of at least four cortices
on each side of the fracture (2). Each of these errors increase the
chance of nonunion. This patient developed nonunion with progressive
angulation of the radius (3) which required repeat fixation with bone graft
and compression plates (4).
| e-Hand | Go Back | Search | Textbook |